When you think about lower extremity injuries which can affect runners, conditions like Achilles tendonitis and plantar fasciitis often come to mind. Smaller ailments like hammer toes, bunions, and overlapping toes might also affect a routine running schedule. But what about broken toes? Are they really that serious and should you avoid running on one?
Don’t miss this quick runners guide to running with a broken toe:

How Do You Break a Toe?
The most common cause of broken toes is simply, well, stubbing them. Forceful direct impact of your toe with a hard surface can cause the bones in your toes (phalanges and metatarsals) to fracture. Same goes for dropping something heavy directly on your toe. The fractures might be microscopic or in more severe cases, full breaks.
Luckily, most broken toes can heal in a matter of weeks with non-invasive treatment methods. If you slammed your toe into something hard and are worried about having broken it, keep an eye out for symptoms including:
-
Swelling in and around the toe
-
Pain and tenderness
-
Discoloration (from bruising under the skin)
-
Visual deformity of the toe
Diagnosing and Treating a Broken Toe
You can immediately apply ice packs to reduce the swelling of a broken toe and potentially limit the bruising. You may also want to elevate your foot and take non-steroidal anti-inflammatories for pain.
If symptoms haven’t alleviated in 2 or 3 days, however, or you are having difficulty wearing your normal shoes or walking on the toe, you should seek a medical evaluation from your doctor. In rare cases, complications may arise like a bone infection or specific joint trauma and inflammation.
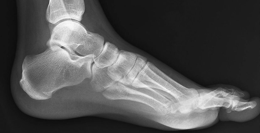
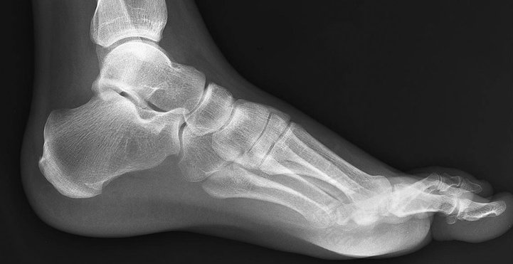
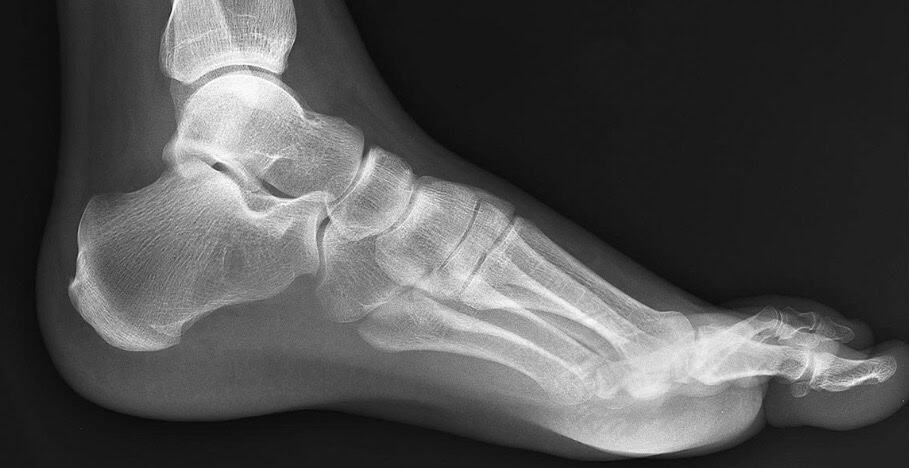
In the event of a broken toe, your doctor will conduct a manual exam to check that the skin around your toe isn’t open and to gauge your levels of swelling, bruising, and tenderness. Imaging scans (x-rays) of your toes from different angles will give them definitive evidence to make a diagnosis of the type of fracture you have incurred and formulate a treatment plan with you.
If the bone has been broken into two or more pieces, your doctor will administer “reduction” or simply try and rearrange the pieces so they seamlessly fit back together and can heal appropriately. This can typically be done without making any incisions. In severe cases, surgical intervention may be required to insert plates, screws, or pins into your toe to hold the bone together while it heals.
Immobilizing the Toe
It is critical that you don’t exacerbate the small break in your toe by over-exerting the joint. Not only can unnecessary movement and pressure make symptoms worse, but it can also impair the recovery of your toe or worse yet, make your toe heal incorrectly to a point where it actually affects your body mechanics and running performance.
To alleviate stress on the bone, consider reinforcing your injured toe by taping it together with the one beside it (this is called buddy taping). You can also wear protective footwear for toe fractures including boots, walker braces, casts, and stiff-bottomed post-operative shoes.
What Runners Should Know
Resting your injured toe should take priority to keeping up with your running regimen. Ultimately, you want symptoms to subside and you don’t want to feel pain when you walk or run. This may take two weeks to six weeks or more depending on the severity of the break, so consider cross-training in the meantime with low-impact activities that won’t hurt your feet further like swimming, cycling, and yoga.
The idea of “tolerating pain up to a certain point” when running on a broken toe can also be misguided. Your best bet as a runner is to talk with your doctor about how well the bones are situated for healing and whether they are stable even though they are still repairing. Good nutrition during recovery that delivers plenty of calcium for bone remodeling and combats inflammation (which can slow healing) is also important.
The truth is that if any group of runners swapped injury stories, chances are many will have a broken toe experience to share. You want to balance the desire to return to running with a warranted sense of caution about re-injuring the toe. If you are an avid runner though, you also know that taking a sudden extended break from running can lead to muscle and conditioning loss that ultimately affects your form and increases your risk of injury for when you do start back up.
Listen to your body, talk with your doctor, and take steps to boost your body’s own ability to heal your broken toe quickly.


